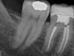
Root Canal Therapy
At the core of your tooth there is an area we refer to as the pulp. The pulp is the nerve of your tooth where blood and nutrients needed by a healthy tooth circulate. If the pulp is damaged for any reason it is susceptible to infection and can result in pain, swelling, bone damage and loss of the tooth. To save the original tooth and avoid the problems associated with damaged pulp, Root Canal Therapy is often an option.
Root Canal Therapy allows us to save your tooth rather than you requiring more costly procedures such as an implant or denture. The process involves creating an opening in the crown of your tooth. The pulp in the 'root canal' is completely removed and the 'canal' is cleaned out, shaped and smoothed. Any infection (we refer to as abscess) is treated and the bacteria that cause it are cleaned out.
The canal area, once infection free is filled and sealed. As the tooth will no longer be receiving vital nutrients it will be more brittle than surrounding teeth. For this reason we create a Crown or Cap to strengthen and protect your tooth's chewing surface, especially if it was one of your back teeth. Once ready the Crown is cemented in place and 'your tooth' rather than an artificial replacement keeps its place in your smile.
A root canal involves a few visits to our office as the procedure is done in stages to allow for proper healing to ensure that all potential infection is gone, bacteria is removed avoiding future problems, and your Crown is created. You may notice that the treated tooth will often darken or discolour once the pulp is removed. If the treatment was on one of your front teeth our whitening procedure can brighten up that tooth along with the rest of your smile.
If you think you may need Root Canal Therapy, contact our Toronto dental office in Yorkville to schedule an appointment today.
Museum Dental
